Слюннокаменная болезнь или камни слюнных желез (саливолиты, конкременты) — это появление в протоках или паренхиме минеральных образований, которые приводят к закупорке просвета протока и нарушению функции. Заболевание чаще диагностируется после 20 лет, и встречается у 1% населения. Патология требует обязательного лечения, иначе есть риск осложнений в виде абсцесса и флегмоны.
Конкременты дают выраженные симптомы, и с появлением первых признаков нужно сразу же обращаться к врачу для удаления. На консультации стоматолога или терапевта врач расскажет, что делать для оказания первой помощи, и направит к специалисту, который будет проводить лечение. Кто лечит, и какими методиками, зависит от особенностей течения патологии в конкретном случае. Чтобы определить это, нужно пройти ряд исследований.
Врачи отмечают, что камни в слюнной железе могут вызывать ряд неприятных симптомов, включая боль в области челюсти, отек и сухость во рту. Основными причинами образования камней являются недостаток слюны, обезвоживание и наличие инфекций. Специалисты подчеркивают важность своевременной диагностики, так как запущенные случаи могут привести к серьезным осложнениям. Современные методы лечения варьируются от консервативных подходов, таких как массаж и гидратация, до хирургического вмешательства в случае крупных образований. Врачи рекомендуют регулярные осмотры у стоматолога для предотвращения возникновения данной проблемы.

Симптомы камней в слюнных железах
Первые симптомы наличия камня в протоке слюнной железы появляются не сразу. Нередко выявление патологии происходит случайно на плановом осмотре или при обследовании по поводу другого заболевания. Обнаружить камни может сам пациент на ощупь или проведя языком по внутренней поверхности ротовой полости. Камни при пальпации плотные, они вызывают припухлость, болезненность, дискомфорт во время еды и разговора. Неприятные ощущения появляются в момент повышенной продукции слюны, что происходит во время еды или при мысли о ней.
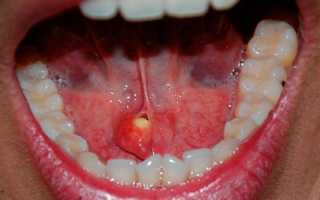
Образовавшийся конкремент может стать фактором воспаления с характерными симптомами. Клинические проявления будут зависеть и от локализации очага. Камни могут образовываться в протоках околоушной, подчелюстной и подъязычной желез.
Общие симптомы слюннокаменной болезни:
- гипосаливация, сухость слизистой рта;
- нарушение вкусовых ощущений, неприятный привкус;
- болезненность и постоянный дискомфорт;
- припухлость, отек.
Справка! Когда присоединяется воспаление, появляются общие симптомы интоксикации. У больного повышается температура, появляется общая слабость, усталость. На фоне сильной боли может пропадать аппетит.
При закупорке протока больного тревожит постоянная боль, усиливающаяся во время еды. Железа при этом может увеличиваться, что внешне напоминает флюс. Расположение камня в самой железе приводит к выраженной отечности. В таком случае есть риск образования кист, а при наличии травмирующего фактора есть вероятность доброкачественной и даже злокачественной опухоли.
Причины камней в слюнных железах
Этиология заболевания до конца не изучена. Выделяют несколько основных факторов риска, провоцирующих образование конкремента. Причины появления камней в слюнной железе можно разделить на общие и местные. В первом случае речь идет о системных патологиях: нарушение обмена веществ, дефицит витаминов. К местным факторам относятся сужение протоков, наличие инородных тел. Как именно они связаны со слюннокаменной болезнью специалисты могут объяснить не полностью.
Выявляется заболевание при проведении рентгенографии или компьютерной томографии. По составу они напоминают зубной камень, и могут иметь немикробную и микробную природу. Состоят из минералов и органических веществ. Основную их часть составляют эпителий протоков, аминокислоты, муцины, кальций, магний, фосфаты, калий и другие минералы.
Почему еще образуются саливолиты:
- систематичный прием гипотензивных и мочегонных лекарств;
- гипервитаминоз;
- мочекаменное заболевание;
- сахарный диабет, подагра;
- прием психотропных средств.
Редкими причинами возникновения конкрементов выступают такие местные факторы, как частые инфекции полости рта, стоматиты, травмы. Наличию камней практически всегда сопутствует воспаление. Врачи не могут точно сказать, в каком порядке появляются эти нарушения. Есть вероятность, что сначала происходит инфицирование железы, а уже затем в ней образуются конкременты.
Камни в слюнных железах — это довольно распространенная проблема, о которой говорят многие. Основные симптомы включают болезненные ощущения в области челюсти, отек и сухость во рту. Люди часто отмечают затруднения при приеме пищи, особенно при употреблении кислых продуктов, которые могут усиливать боль. Причины образования камней варьируются от недостатка слюны до инфекций и воспалений. Современные методы лечения включают как консервативные подходы, такие как массаж и гидратация, так и хирургические вмешательства для удаления крупных камней. Важно не игнорировать симптомы и обращаться к врачу, чтобы избежать осложнений и сохранить здоровье слюнных желез.

Что делать при образовании камней в слюнной железе
При подозрении на слюннокаменное заболевание необходимо обратиться к стоматологу. Непосредственным лечением будет заниматься зубочелюстной хирург или инфекционист, зависимо от течения патологии. После обращения к врачу будут назначены исследования, которые помогут подобрать правильное лечение. Скорее всего, конкремент придется удалить, но в некоторых случаях их удается растворить без операции.
Кто занимается удалением камней из слюнных желез
Конкременты слюнных желез лечит зубочелюстной хирург. Можно обратиться сразу к нему или же записаться на прием к стоматологу, который проведет первичный осмотр и направит к нужному врачу. Способ лечения будет зависеть от стадии и наличия осложнений. Результат консервативного лечения без удаления камней будет зависеть от степени закупорки протока.

Диагностика заболевания
За счет высокой плотности конкремента его хорошо видно при проведении рентгена. Сейчас в стоматологии чаще применяется метод компьютерной томографии. Небольшой камень с недостаточной минерализацией может проявиться плохо, потому во время исследования применяется контрастное вещество.
Справка! Когда КТ не дает достаточно информации и нужно провести дифференциальную диагностику, назначается магнитно-резонансная томография. Это наиболее точный метод диагностики, позволяющий выявить патологию на ранней стадии.
Лечение камней в слюнной железе
Среди методов лечения камней без операции выделяют слюногонную диету, массаж челюсти, согревание, бужирование протоков. Во многих случаях удаление камня из слюнной железы не требуется, так как он может выйти сам, что происходит спонтанно. Чтобы он вышел без осложнений, назначаются лекарства. Медикаментозные средства выписывает исключительно врач, заниматься самолечением опасно.
Как еще лечат слюннокаменное заболевание:
- путем выдавливания или извлечения стоматологическим пинцетом;
- эндоскопическим методом;
- ультразвуковым дроблением;
- химическим растворением.
Применяемые методы физиотерапии: лечение теплом, электрофорез, электротерапия, магнитотерапия. По показаниям могут назначаться антибактериальные препараты. Антибиотики нужны для профилактики осложнений и купирования острого воспаления желез. Дозировка индивидуальна, обычно составляет прием антибиотика широкого спектра 2-3 раза в сутки на протяжении 5-7 дней.
Справка! Передовым методом считается экстракорпоральная сиалоэндоскопия и литотрипсия.
Эндоскопический метод удаления камней
Удаление камня из протока слюнной железы эндоскопическим методом выполняется под местным обезболиванием в амбулаторных условиях. Операция проходит без травмирования тканей, что исключает ряд осложнений. Для удаления эндоскоп вводится в проток железы. С его помощью определяются локализация и количество конкрементов. Затем миниатюрным инструментом происходит извлечение камней.
Преимущества эндоскопического лечения:
- минимальный травматизм;
- отсутствие риска травмирования нерва;
- проведение под местным обезболиванием;
- возможность удаления саливолитов разной локализации;
- сохранение нормальной функции желез и протоков.
Как растворить камень в протоке
Химическое растворение конкрементов проводится путем введения в железу лимонной кислоты. Растворить камень в протоке слюнной железы можно и в домашних условиях. Делать это крайне не рекомендуется, ведь народные средства могут только усугубить заболевание. Они предполагают регулярное ополаскивание рта солевыми растворами и средствами с лимонным соком.
Хирургическое удаление
При хроническом течении патологии с рецидивами проводится удаление конкремента из протока слюнной железы хирургическим путем. Есть несколько видов операций для устранения слюннокаменной болезни. Проводится лечение чаще под местным обезболиванием, реже показан общий наркоз, в особенности при удалении конкремента из околоушной железы.
Открытое вмешательство предполагает рассечение протока со стороны ротовой полости. При гнойном поражении врач вскрывает абсцесс и расширяет хирургическую рану для свободного отхождения экссудата. При часто рецидивирующем заболевании и тяжелых осложнениях выполняется экстирпация, то есть полное удаление железы.
При средней степени тяжести патологии может проводиться бужирование. Оно предполагает расширение протока для нормального оттока слюны. При образовании стриктур выполняется сиалоэндоскопия. При небольших образованиях показано ультразвуковое дробление — экстракорпоральная литотрипсия.
Можно ли выдавливать камни самостоятельно
Пытаться вытащить или растворить конкремент в домашних условиях крайне не рекомендуется. Есть риск инфицирования, кровотечения и сильного болевого синдрома. Перед тем как выдавить камень, следует учесть, что в случае гнойного осложнения инфекция может распространяться в регионарные лимфатические узлы и соседние органы. Это может привести к заражению крови и даже энцефалиту. Как только появился первый тревожный симптом, нужно идти к врачу. Причина заболевания может быть еще серьезней, и ее потребуется немедленно устранять, чтобы избежать тяжелых последствий.
Другие возможные осложнения:
- переход заболевания в хроническое течение с частыми рецидивами;
- постоянная боль, усиливающаяся во время еды и воспоминаний о ней;
- рубцевание тканей, нарушающее функцию железы;
- гнойное воспаление с риском распространения инфекции;
- галитоз — стойкий неприятный запах изо рта;
- преобразование железистой ткани в фиброзную и соединительную.
Прогноз и профилактика
Прогноз благоприятный и, в большинстве случаев, современные методы терапии позволяют избежать необходимости удаления слюнной железы. Восстановительный период во многом зависит от соблюдения пациентом рекомендаций врача.
На прогноз также влияет общее состояние организма. Для скорейшего выздоровления и профилактики повторного образования камней в слюнной железе рекомендуется принимать витаминные и минеральные препараты, следить за питанием и соблюдать гигиену полости рта.
Вопрос-ответ
Какие основные симптомы камней в слюнной железе?
Основные симптомы включают боль и отек в области челюсти или шеи, сухость во рту, затрудненное глотание, а также появление гноя или неприятного запаха изо рта. При наличии камней может также наблюдаться внезапное увеличение слюноотделения, особенно при приеме пищи.
Что может стать причиной образования камней в слюнной железе?
Камни в слюнной железе могут образовываться из-за различных факторов, включая обезвоживание, недостаток слюны, инфекции, а также наличие определенных заболеваний, таких как синдром Шегрена. Также предрасполагающими факторами могут быть плохая гигиена полости рта и наличие хронических воспалительных процессов.
Какие современные методы лечения используются для удаления камней из слюнной железы?
Современные методы лечения включают консервативные подходы, такие как массаж железы и увеличение потребления жидкости, а также более инвазивные процедуры, такие как эндоскопическое удаление камней или хирургическое вмешательство. В некоторых случаях может быть рекомендовано применение ультразвука для дробления камней.
Советы
СОВЕТ №1
Регулярно следите за гигиеной полости рта. Чистка зубов дважды в день и использование зубной нити помогут предотвратить накопление бактерий и образование камней в слюнных железах.
СОВЕТ №2
Увлажняйте слизистую рта, особенно если вы часто испытываете сухость. Пейте достаточное количество воды и используйте увлажняющие спреи для рта, чтобы поддерживать нормальный уровень слюны.
СОВЕТ №3
Обратите внимание на симптомы, такие как боль или отек в области челюсти и шеи. При их появлении не откладывайте визит к врачу, так как ранняя диагностика поможет избежать осложнений.
СОВЕТ №4
Изучите современные методы лечения, включая массаж слюнных желез и физиотерапию. Эти процедуры могут помочь в профилактике и лечении камней, а также улучшить общее состояние слюнных желез.