У подростков и взрослых инородными телами пищевода чаще всего оказываются комки пищи и кости. Патология почти всегда связана с уплотнением пищи. Риск повышен у взрослых людей без зубов, тяжелых больных и людей с предрасполагающими заболеваниями пищевода.
Обычно инородное тело пищевода застревает в одном из трех мест физиологических сужений:
- в области перстневидно глоточной мышцы (место перехода глотки в пищевод);
- в проекции дуги аорты;
- в месте перехода пищевода в желудок.
Реже инородные тела локализуются в области бифуркации трахеи и верхнего отверстия грудной клетки. 90% инородных тел проходят дальше в желудок самостоятельно.
Признаки и симптомы инородного тела пищевода
При остром попадании инородного тела в пищевод (до 1 суток) возникают следующие симптомы:
- дисфагия – состояние, когда процесс глотания становится затруднительным или невозможным;
- боль при глотании и слюнотечение;
- удушье;
- позывы к рвоте и рвота;
- слюна с примесью крови.
При длительном сохранении инородного тела в пищеводе:
- Преобладают респираторные симптомы (в результате отека прилежащих к пищеводу тканей, перекрывающих ток воздуха через трахею): кашель, стридор и осиплость.
- Общие симптомы:
- беспокойство и раздражительность;
- потеря веса вплоть до анорексии;
- загрудинные боли и повышение температуры;
- ощущение присутствия постороннего тела обычно соответствует тому уровню, на котором застряло тело в пищеводе.
В случае возникновения осложнений (перфорация пищевода – нарушение целостности), появляются краснота, отечность и крепитация в области шеи (при пальпации ощущается характерное потрескивание или хруст).
В 20% случаев никак не проявляется.
Врачи подчеркивают, что инородные тела в пищеводе могут вызывать разнообразные симптомы, включая боль в груди, затрудненное глотание и слюнотечение. Важно отметить, что некоторые пациенты могут не проявлять явных признаков, что затрудняет диагностику. Для выявления проблемы специалисты рекомендуют использовать рентгенографию и эндоскопию, которые позволяют точно определить местоположение и характер инородного тела. Лечение зависит от типа и размера объекта: в некоторых случаях достаточно эндоскопического удаления, в других может потребоваться хирургическое вмешательство. Врачи настоятельно советуют не игнорировать симптомы и обращаться за медицинской помощью при подозрении на наличие инородного тела, чтобы избежать серьезных осложнений.

Причины
Посторонние предметы застряют из-за несоответствия размера инородного тела диаметру пищевода или в ответ на повреждение стенки, наличие структурных нарушений органа (стенозы, стриктуры).
Застревание пищи в пищеводе, как правило, бывает вызвано 3 причинами:
- патология мышечного аппарата пищевода;
- нарушение нервно-мышечной регуляции;
- изменением просвета органа.
При эозинофильном эзофагите застревание происходит периодически.
Инородное тело пищевода у ребенка
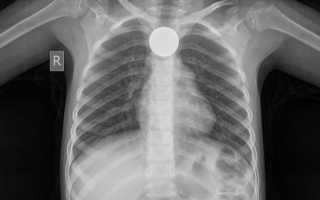
Инородное тело пищевода у детей в 80% случаев приходится на младший возраст, особенно до двух лет. Монеты составляют 80% от всех проглоченных инородных тел.
Симптомы у детей:
- отказ от еды;
- стридор (свистящее, шумное дыхание) и кашель;
- воспаление верхних дыхательных путей;
- боли в области шеи, горла.
Предрасполагающим фактором является сужение пищевода. Редко у детей патология осложняется пищеводно-аортальным и пищеводно-трахеальным свищами.
Инородное тело пищевода — это серьезная проблема, о которой часто говорят пациенты и врачи. Симптомы могут варьироваться от дискомфорта и боли в груди до затрудненного глотания и слюнотечения. Некоторые пациенты отмечают чувство “комка” в горле, что вызывает тревогу. Диагностика обычно включает рентгенографию или эндоскопию, что позволяет точно определить местоположение и тип инородного объекта. Лечение зависит от характера и расположения тела: в некоторых случаях достаточно эндоскопического удаления, в других может потребоваться хирургическое вмешательство. Важно не игнорировать симптомы и обращаться за медицинской помощью, так как задержка может привести к серьезным осложнениям.

Диагностика инородных тел пищевода
Диагностика наличия посторонних предметов основывается на данных о проглоченном объекте. Физикальное обследование должно быть сфокусировано на степени поражения:
- следует искать осложнения: обструкцию пищевода, перфорацию и кровотечение;
- тщательное обследование ротоглотки – поиск эритемы, воспаления верхних дыхательных путей, горла или ссадин на небе;
- прямая и непрямая ларингоскопия;
- аускультация легких покажет наличие стридора и свистящего дыхания;
- наличие перитонита или непроходимости кишечника при обследовании живота (пальпация, клиническая картина).
Лабораторные исследования не требуются.
Специальные методы исследования
- Рентгенография грудной клетки и шеи необходима всем пациентам с подозрением на попадание постороннего предмета (для его локализации, вне зависимости от симптомов). Инородные тела в пищеводе располагаются во фронтальной плоскости, а в трахее – в сагиттальной плоскости.
При перфорации пищевода обнаруживается воздух в ретрофарингеальном пространстве, в мягких тканях шеи или в средостении.
- Исследование пищевода с контрастными материалами для выявления прозрачных для рентгеновских лучей материалов, что позволяет:
- обнаружить изменения контура столбика бария;
- оценить прохождение контрастного раствора в желудок, что позволяет выявить частичную или полную непроходимость.
Важно! Оральные контрастирующие вещества при значительной степени непроходимости пищевода могут повысить риск аспирации. Также барий может покрыть слой слизистой и мешать последующей эндоскопии.
- Эндоскопия – наилучший метод для выявления места нахождения и извлечения инородных тел из пищевода и желудка. Кроме того, есть возможность проверить окружающую слизистую пищевода на наличие патологии.
- Компьютерная томография обнаруживает инородные тела, не определяемые другими методами.
- Для обнаружения проглоченных металлических предметов, особенно монет, может использоваться металлодетектор.

Удаление инородных тел из пищевода
- При нахождении инородных тел в верхней и средней части пищевода требуется извлечение.
Бессимптомные пациенты с монетами или гладкими предметами в дистальной части пищевода требуют наблюдения в течение 24 часов, чтобы убедиться в том, что инородные тела прошли в желудок.
- Плотный кусок пищи, полностью перекрывающий пищевод требует экстренного извлечения. Попытки переваривания протеолитическими ферментами не рекомендуются из-за связанной с этим серьезной опасности повреждения, в том числе перфорации пищевода и аспирации.
- Острые или заостренные предметы следует извлекать независимо от их локализации.
- Пуговичные батарейки требуют экстренного извлечения вне зависимости от положения в пищеводе. Из них часто вытекает гидроксид калия и ртуть, могут в течение 4-6 часов вызвать ожог слизистой.
Методы удаления инородного тела пищевода
- Извлечение с помощью катетера Фолея под контролем флюороскопии:
- эффективный и безопасный метод в опытных руках;
- катетер Фолея вводят через нос в пищевод, заводя конец катетера и баллон под инородное тело под контролем флюороскопии;
- баллон заполняют контрастным веществом с барием и медленно вынимают катетер;
- метод противопоказан при хроническом глотании инородных тел, у неконтактных пациентов, в случае нахождения острых или заостренных предметов.
- Расположенное в дистальной части инородное тело пищевода (малого размера без острых краев) следует с помощью катетера Фолея протолкнуть в желудок.
- Эндоскопическое удаление – излюбленный метод удаления различных инородных тел:
- при длительности нахождения инородного тела больше 2-4 дней использование затруднено из-за сопутствующего раздражения и отека пищевода;
- в трудных случаях (дети, психиатрические пациенты, трудное для извлечения инородное тело) требуется общая эндотрахеальная анестезия.
- Введение внутривенно глюкагона:
- снижает тонус сфинктера нижней трети пищевода, не влияя на сокращение пищевода;
- часто помогает находящимся в дистальной части пищевода пищевым комкам проходить в желудок;
- рекомендуется для случаев закупорки пищевода продолжительностью меньше 24 часов.
- Применение газообразующих веществ:
- рекомендуются для случаев закупорки пищевода продолжительностью менее суток.
- можно сочетать с введением глюкагона, после которого дают перорально газообразующие вещества.
- Хирургическое вмешательство:
- применяются в тех случаях, когда инородное тело не может быть извлечено другими способами;
- примерно 2% всех пациентов нуждаются в оперативном лечении;
- причиной хирургических вмешательств чаще всего становятся зубочистки и кости.
Лекарственное лечение инородного тела пищевода
- E-Z Gas: 30 мл раствора (NaHCO3, лимонная кислота и симетикон) перорально. Образовавшийся газ способен протолкнуть пищу.
- Глюкагон: 1-2 мг внутривенно струйно после небольшой тест-дозы для определения чувствительности. Позволит расслабить тонус мышц пищевода и нижнего сфинктера.
Для уменьшения давления нижнего сфинктера пищевода могут использоваться такие средства: Верапамил, Нитраты, Бускопан.
При повреждении стенки пищевода проводится антибиотикотерапия препаратами широкого действия в отношении флоры.
Осложнения инородных тел пищевода
Прогноз при своевременном извлечении инородного тела и своевременном лечении благоприятный. Наиболее грозными осложнениями считаются кровотечение и перфорация – нарушение целостности органа. Летальность при инородных телах пищевода не превышает 2 %.
Рекомендуемые материалы
Пищевод: анатомия строение и физиология
Ком в грудине или пищеводе — что это такое
Грыжа пищевода — причины возникновения, методы лечения
Кандидоз пищевода: причины, симптомы, лечение
Язва пищевода: симптомы и лечение
Что такое кардиоспазм пищевода, как снять его самостоятельно
Эрозивный эзофагит
Как лечить эрозию пищевода
Вопрос-ответ
Какие симптомы могут указывать на наличие инородного тела в пищеводе?
Симптомы могут включать боль в груди, затрудненное глотание, ощущение инородного тела в горле, слюнотечение, кашель или рвоту. В некоторых случаях может наблюдаться также изменение голоса или дыхательные затруднения.
Как проводится диагностика инородного тела в пищеводе?
Диагностика обычно включает физикальный осмотр, а также визуализационные методы, такие как рентгенография или эндоскопия. Эндоскопия является наиболее точным методом, позволяющим не только диагностировать, но и удалить инородное тело.
Какие методы лечения применяются при обнаружении инородного тела в пищеводе?
Лечение зависит от типа и расположения инородного тела. В большинстве случаев требуется эндоскопическое удаление. В редких случаях, если эндоскопия неэффективна, может потребоваться хирургическое вмешательство. Важно также обеспечить поддержку и наблюдение за пациентом после удаления инородного тела.
Советы
СОВЕТ №1
Если вы подозреваете, что у вас или у кого-то из близких застряло инородное тело в пищеводе, не пытайтесь удалить его самостоятельно. Это может привести к серьезным повреждениям. Обратитесь за медицинской помощью как можно скорее.
СОВЕТ №2
Обратите внимание на симптомы, такие как боль в горле, затрудненное глотание, слюнотечение или чувство инородного тела в горле. Эти признаки могут указывать на наличие инородного тела и требуют немедленного обращения к врачу.
СОВЕТ №3
При диагностике инородного тела в пищеводе врачи могут использовать рентген или эндоскопию. Не бойтесь задавать вопросы о процессе диагностики и возможных рисках, чтобы быть полностью информированным о своем состоянии.
СОВЕТ №4
После удаления инородного тела важно следовать рекомендациям врача по восстановлению. Это может включать диету, избегание определенных продуктов и регулярные осмотры, чтобы предотвратить повторные случаи.