Ретейнеры после брекетов: установка, уход и противопоказания
Завершающим этапом ортодонтического лечения является ретенционный период. Данный период подразумевает использование специального аппарата — ретейнера после брекетов.
Ретейнер устанавливают на зубы для их фиксации и закрепления результатов лечения. Аппарат фиксирует зубы в правильном положении и не позволяет им смещаться в первоначальное неправильное положение.
Таким образом, происходит закрепление правильного прикуса с помощью ретейнеров.
Принцип действия
Лечения ортодонтическими конструкциями является серьёзным и длительным процессом. При выравнивании зубов происходит смещение зубов в кости, изменения прикуса, изменения в суставах и мышцах челюстно-лицевой области. Исправление прикуса происходит намного быстрее, чем образование и укрепление костной ткани.
Ретейнеры используют, чтобы зубы зафиксировались и вокруг них образовалась плотная костная ткань. Если кость достаточно не образовалась, то без ретейнера зубы могут с лёгкостью изменить своё положение, так как не плотно находятся к челюсти. Можно сделать вывод, что основной функцией ретейнера после брекетов является укрепление зубов и предотвращение их искривления.
Конструкция имеет много плюсов: оказывает воздействие на зубы, не приносит дискомфорт во время ношения, незаметна для окружающих, эффективность не зависит от возраста пациента. Но людям, которые проводили лечение неправильного прикуса во взрослом или пожилом возрасте, может потребоваться носить ретейнер до конца жизни.
Виды
Существует два вида ретейнеров, которые очень отличаются между собой:
- Съёмные — изготавливаются из пластмассы и одеваются на ночь;
 - Несъёмные — изготавливаются из металлических сплавов и фиксируются в полости рта на зубы.
 
Съёмные конструкции пациент может снимать и одевать самостоятельно, без помощи врача. Они изготовляются из разных материалов и могут быть в виде прозрачных кап, пластинок.
Капы изготовляют из полимерных пластмассовых материалов, а пластинки комбинируют из металла и пластмассы. Съёмные аппараты одевают в ночное время и при необходимости на несколько часов днём.
За конструкциями необходим ежедневный уход, гигиену аппарата можно выполнить с помощью зубной щётки и пасты.
Несъёмные аппараты нельзя извлечь из полости рта, их фиксацию и снятие проводит врач. Они представляют собой небольшую лигатуру (проволоку), которую прикрепляют с внутренней стороны зубов на специальный стоматологический материал. Такие ретейнеры называют лингвальными. Конструкцию необходимо тщательно вычищать во время гигиены зубов.
Преимущества несъёмных ретейнеров: просты в уходе, легко фиксируются и снимаются, оказывают круглосуточное давление на зубы, не мешают во рту, не приносят дискомфорта, незаметны для окружающих.
Недостатком является необходимость качественного и регулярного ухода, чтобы предупредить образование зубного камня и заболеваний зубов.
А также, невозможность проводить МРТ головного мозга и челюстно-лицевой области.
Ретейнер Осаму изобрел японский ортодонт. Аппарат состоит из двух слоёв пластин и надёжно фиксирует зубной ряд. Внутренний слой 1,5 мм плотно прилегает к зубам, второй 0,75 мм надёжно удерживает ретейнер на зубах.
Ретейнер респонд 0210 — это специальная лигатура (проволока) для фиксации зубов. Представляет собой круглую плетённую дугу с шести прядей, изготавливается из стали, обладает прекрасными качествами: гибкостью и мягкостью.
Установка и снятие
Установку несъёмного ретейнера после брекетов или изготовление съёмного проводят сразу после снятия брекет-системы. Прозрачную капу или пластинку изготовляют в зуботехнической лаборатории, но перед этим с челюстей пациента снимают слепки зубов. После изготовления аппарата врач ортодонт примеряет капу на зубы, рассказывает о правилах эксплуатации, лечении, уходе за конструкцией.
Установку лингвального ретейнера проводят в кресле у стоматолога. Врач проводит чистку зубов, подготавливает внутреннюю поверхность зубов и проводит фиксацию лигатуры на специальный стоматологический клей. Вся процедура длится 30-40 минут и является полностью безболезненной.
Сколько носить
Длительность ношения ретейнера может быть разной и зависит от вида патологического прикуса, длительности лечения брекетами, степени искривления зубов, возраста больного и индивидуальных особенностей. При лечении в подростковом и молодом возрасте ретейнер носят 1-2 года, при лечении во взрослом возрасте (после 35-40 лет) ретейнер носят длительный период времени или даже всю жизнь.
Капа или ретейнер: что лучше
Какой ретейнер лучше и эффективнее в каждой индивидуальной ситуации должен выбирать лечащий врач ортодонт. Пациент также может выразить своё желание в пользу одного с двух видов ретейнеров.
Капа одевается только на время сна, а металлический ретейнер постоянно находится на зубах. Каждый из аппаратов имеет свои преимущества и недостатки, которые необходимо учитывать при выборе конструкции.
Уход
При использовании капы или пластинки, ортодонтический аппарат необходимо очищать от слюны и ротовой жидкости ежедневно.
Чистить ретейнер можно с помощью зубной щётки и пасты, в мыльной воде или просто ополаскивать под струёй воды комнатной температуры.
Следует отметить, что нельзя использовать горячую или холодную воду, чтобы не допустить деформацию аппарата. Хранить ретейнер нужно в специальном боксе или контейнере, чтобы не допустить механические повреждения.
Чтобы предотвратить возникновение стоматологических заболеваний нужно чистить зубы утром и вечером в течении 2-3х минут.
При этом нужно уделять внимание участку зубного ряда, на котором расположена ортодонтическая конструкция.
На протяжении дня можно использовать ополаскиватель или проводить полоскания полости рта водой после каждого приёма пищи. Перед сном необходимо использовать зубную нить (флосс) для чистки межзубных промежутков.
Очень эффективной и простой в применении является электрическая зубная щётка. Она качественно и быстро очистит все поверхности зубов. А также, при ношении ретейнера рекомендуется каждые несколько месяцев посещать ортодонта для контроля фиксации зубов. Рекомендовано раз в 1-2 месяца проводить профессиональную чистку зубов у стоматолога.
Отклеился ретейнер
В случае отсоединения ретейнера от зубов необходимо посетить врача и провести ремонт аппарата. Отклеится ретейнер после брекетов может по причине длительного или большого жевательного давления на конструкцию, вредных привычках, травме, откусывании твёрдых продуктов. После поломки врач проводит осмотр аппарата и подклеивает или проводит замену ретейнера.
Противопоказания
Существуют противопоказания к установке несъёмного ретейнера после брекетов:
- Заболевания минерального или солевого обмена веществ;
 - Быстрое образование зубного камня на внутренней поверхности зубов;
 - Заболевания дёсен: рецессия, гингивит, пародонтит, стоматит;
 - Заболевания зубов: кариес, эрозия, клиновидный дефект;
 - Новообразования в полости рта;
 - Постоянная хроническая травма органов полости рта от проволоку;
 - Аллергия на металлический сплав.
 
Многие противопоказания являются относительными (заболевание зубов, дёсен, слизистой оболочки) и их можно устранить с помощью стоматологических манипуляций. К ретейнеру в виде капы практически не существует противопоказаний. Её нельзя использовать только в случаи аллергии на пластмассу.
Шесть важных правил по уходу за брекетами и необходимые девайсы
Брекет-система считается одним из самых эффективных методов выравнивания зубов.
Ношение таких систем зачастую занимает длительное время, поэтому обладателю нужно научиться правильно ухаживать не только за ротовой полостью, но и за самими брекетами.
Причинами деформации таких систем может быть не только физическое воздействие, но и употребление «неправильной» пищи.
Основные правила
Чтобы ношение брекетов не повредило зубам, необходимо соблюдать все рекомендации стоматолога. Врач должен указать, с какой частотой необходимо его посещать.
Кроме того, существует шесть основных правил, которые необходимо строго выполнять:
- Регулярно посещать стоматолога. Пока будет проходить изменение прикуса или выравнивание зубов пациент должен посещать стоматологический кабинет с назначенной периодичностью.По мере изменения картины врач будет корректировать положение элементов в конструкции, лечить по мере проявления заболевания ротовой полости.
 - Чистить зубы после каждого приема пищи. Так как конструкция состоит из множества мелких элементов, под их поверхность быстро попадает пища.Вовремя не удаленные остатки пищи, являются рассадником бактерий. Чистить ротовую полость желательно с помощью щетки, но если такой возможности нет, то лучше прополоскать рот водой или бальзамом-ополаскивателем.
 - Применять специальные девайсы. Для того чтобы остатки пищи хорошо удалялись, необходимо использовать специальные приспособления, которые мягко и деликатно будут очищать пространство между элементами системы и эмалью.
 - Чистить зубы со всех сторон. Проводит чистку нужно не только с внешней стороны, но и внутренней. Особое внимание стоит уделять местам, где соединяются элементы конструкции.
 - Регулярно проводить профессиональную чистку ротовой полости. Домашняя чистка не поможет качественно убрать зубной камень или налет.
 - Следить за питанием и исключить твердую пищу. «Опасными» продуктами считаются сухарики, карамель, орехи, грильяж и т. д.
 
Это основные правила, которых необходимо придерживаться, чтобы брекет-система полностью выполняла свою функцию, но при этом не доставляла дискомфорта.
Используемые способы и средства
Длительное ношение брекетов сопровождается изменением гигиены рта. Кроме обычной щетки, арсенал гигиенических средств обогащается ершиками, ирригаторами, флоссами.
Для людей, которые раньше не сталкивались с такой процедурой, эти слова могут ни о чем не говорить. Те, кто носит такие конструкции, знают об этих средствах гигиены немало, но, все же, нужно правильно их выбирать.
Специальные зубные щетки
Одним из самых эффективных и популярных средств гигиены считают V-образные щетки. Они отличаются от стандартных своей формой и длиной ворсинок. V-образная щетка имеет в центральной части короткие ворсинки, а по обоим краям – длинные.
Такое расположение позволяет легко удалять остатки пищи и налет в межзубном пространстве. Короткий ворс активно очищает замочки ортодонтической конструкции.
Подобное расположение ворса на щетке позволяет без лишних усилий быстро и без дискомфорта удалять налет. Процесс очищения ротовой полости с помощью V-образной щетки заключается в следующих этапах:
- Перед процедурой нужно снять тяги и удерживающие резиночки.
 - Внешнюю и внутреннюю часть зуба необходимо обрабатывать выметающими движениями.
 - Замочки конструкции прочищать только в вертикальном положении.
 - Отдельное внимание нужно уделить направлению щетки. Она должна быть направлена от десен к краю зубов.
 - С помощью горизонтальных движений нужно проводить чистку ортодонтической дуги.
 
Заканчивать чистку лучше полосканием ротовой полости.
Монопучковые щетки
Этот вид щеток производится специально с длинной ручкой и маленькой головкой, на которой установлен только один пучок ворсинок. Форма пучка может быть как ровно срезанной, так и острой.
Предназначение такой щетки – удаление налета в межзубном пространстве. Отдельное внимание нужно обращать на жесткость ворса.
Он разделяется на мягкий, средний и жесткий вид. Процесс обработки ротовой полости этим методом состоит из нескольких этапов:
- Снятие тяг и резиночек.
 - Держать щетку нужно под прямым углом по отношению к зубам.
 - Сначала обрабатывать линию десен, а потом плавно переходить на зону межзубья.
 - После можно приступать к очищению замочков. Для этого щеткой нужно осуществлять плавные круговые движения.
 - Дугу ортодонтической системы нужно прорабатывать только по горизонтальным линиям.
 
Ершики
Ершиком называют ручку-держатель, которая состоит из металлического стержня. В этот стержень вплетен нейлоновый ворс. Рабочей зоной считается только головка. Она может иметь как цилиндрическую форму, так и конусоподобную.
Потребитель сам решает, какая форма ему больше удобная. Что касается угла изгиба, формы и длины, то здесь производитель самостоятельно выбирает эти характеристики ершика.
Основная задача этого средства – это очищение межзубного пространства и деталей системы. Чтобы качественно очищать ротовую полость, нужно:
- держать ершик под прямым углом к зубам;
 - движения должны быть мягкими и плавными, чтобы не повредить десна;
 - после очистки межзубного пространства можно приступать к обработке боковых сторон и каналов;
 - чтобы очистить дугу ортодонтической системы, ершик нужно держать параллельно к ней, при этом ершик нужно постоянно проворачивать;
 - по принципу 4 пункта удаляется налет и по всем замочкам.
 
Когда брекеты только установлены, то лучше приобрести мягкий ершик или со средней жесткостью, чтобы не повредить десны.
Ирригаторы
Ирригатор – специализированное приспособление, которое осуществляет удаление налета за счет тонкой струи воды. Вода подается под давлением из отдельного резервуара. Зачастую он встроен прямо в ручку ирригатора.
Новичкам нужно помнить, что обработку ротовой полости этим приспособлением проводят только после классической чистки с использованием зубной пасты.
Когда классическая чистка произведена, в резервуар можно заливать бальзамы-ополаскиватели или кипяченую воду. Залитую жидкость необходимо направлять сверху вниз, при этом напор увеличивать постепенно.
Флоссы
Флоссами называют ортодонтичскую нить, которая предусмотрена для чистки не только межзубного участка, но и для самых элементов брекетов. Флосс уместно использовать уже на завершающем этапе удаления налета.
Чтобы процесс был эффективным, нужно соблюдать технику использования флосса:
- Очищение производится поступательными движениями.
 - Нитку стоит плотно натянуть с помощью большого и указательного пальца левой и правой руки. Каждый конец нитки держать отдельно.
 - Движения должны быть аккуратными и плавными, чтобы не травмировать нежную поверхность десны и не зацепить элементы системы.
 
Профессиональная чистка
Тем, кто носит брекет-системы, нужно помнить, что профессиональную чистку стоит проводить не реже, чем 1 раз в 6 месяцев. Такая частота позволяет уберечь зубы от негативного влияния отложений.
Стоматолог может предложить несколько вариантов чистки. Самыми эффективными считаются методы ультразвуковой обработки и Air Flow.
Метод Air Flow применяют после специального окрашивания поверхности зубов. Используется розовый краситель, который концентрируется в местах отложений. Стоматологу проще выявить скопление камней или налета.
Этот метод можно применять даже в зонах под брекетами, а метод ультразвука использовать вблизи от элементов системы нельзя. Метод Air Flow осуществляет гигиену под дугами, непосредственно у края зуба возле десны, вокруг элементов системы.
Зубная паста
От качества зубной пасты зависит здоровье ротовой полости, поэтому это средство должно выполнять несколько функций:
- качественно удалять налет,
 - предотвращать отложения на протяжения дня,
 - осуществлять защиту от кариеса,
 - снимать воспаления,
 - укреплять фтором и кальцием.
 
Ношение ортодонтической системы при неправильной гигиене может спровоцировать развитие кариеса. Чтобы этого не случилось, нужно:
- В состав пасты должны входить фтор, кальций, аминофторид, олово.
 - Фторсодержащая паста (Пародонтакс, Сенсодин) начинает вступать в реакцию только через 5 минут после длительного контакта со слюной.
 - Кальциевая паста более безопасна (Сплат, R.O.C.S., Новый жемчуг).
 - Лучше отказаться от высокоабразивных паст, так как они могут повредить эмаль.
 - Желательно отдать предпочтение пастам с растительными ферментами.
 
Кроме выбора пасты, еще нужно правильно осуществлять гигиену ротовой полости.
Для этого необходимо:
- чистить зубы не меньше 3—5 минут;
 - чистить каждый зуб не меньше 10 секунд;
 - отказаться от продуктов с красителями;
 - не стоит потреблять вязкие, тягучие и твердые продукты;
 - после каждого приема пищи полоскать рот;
 - эффективно и аккуратно очищать межзубное пространство.
 
Ополаскиватели для полости рта
Ополаскиватели выступают в качестве дополнительного удаления налета и остатков пищи. Их лучше применять после каждого приема пищи и чистки.
Чтобы налет правильно и своевременно удалялся, необходимо:
- за один раз использовать не меньше 20 мл средства;
 - полоскать без перерыва в течение 30 секунд;
 - в процессе полоскания можно обрабатывать и горло;
 - использованное средство сплюнуть;
 - перед процедурой лучше пользоваться флоссом.
 
Чтобы правильно выбрать ополаскиватель, нужно обращать внимание на состав средства (нежелательно, чтобы в нем были красители).
Также выбранное средство должно бороться с бактериями, снимать воспаление десен. Обязательным моментом выбора ополаскивателя в период ношения брекетов является отсутствие спирта в составе.
Особенности питания
Чтобы не происходило казусов во время ношения ортодонтической конструкции, нужно следовать всего 5 правилам:
- Стоит отказаться от тягучей и липкой пищи. К такой группе продуктов относятся все жевательные конфеты, ириски, жевательные резинки, нуга, карамель. Любые продукты, которые могут застревать в элементах системы, могут ее сдвинуть или изменить направление.
 - Нельзя кусать жесткие продукты. Твердая и жесткая пища также способна изменить натяжение дуг системы. Лечебную нагрузку могут повредить орехи, твердые яблоки, морковь, сухарики, конфеты.
 - Контролировать температуру продуктов. Резкая смена продуктов может повредить эмали. Нельзя кушать слишком горячие или холодные продукты. Эмаль может стать слишком чувствительной, если в ней появляются трещины.Детали брекет-системы также могут попасть под воздействие температуры. Особенно активно реагируют на смену температуры термочувствительные детали. Такие материалы могут потерять свое свойство, растянуться или наоборот сузиться.
 - Выбирать продукты без содержания красителей. Если брекет-система керамическая, то это правило очень важное. Не стоит потреблять свеклу, ягоды, сладкие газированные воды, чай, кофе, варенье, мороженое с красителями и т. д.
 - Лучше отказаться от алкоголя. Алкоголь пересушивает слизистую оболочку, поэтому это может спровоцировать развитие бактерий. Ликер, алкогольные коктейли, вина – все это дополнительно окрашивает поверхность эмали и самой системы.
 
Твердые продукты можно измельчать, но, все же, с орехами, карамелью и алкоголем лучше повременить.
Зубы после брекетов: как закрепить результат?
Женский сайт «Красивая и Успешная» сегодня расскажет своим читательницам, какой уход требуется зубам после брекетов и каким образом лечение должно завершаться.
Ведь иногда бывает так, что человек устанавливает лучшие брекеты известной марки, почитать о которых можно также на страницах нашего сайта, а эффект получает не идеальный.
Поэтому многие пациенты ортодонтов и предполагают, что брекет-система способна дать отличный результат далеко не во всех случаях.
А причиной такого заблуждения являются многочисленные отзывы пациентов, которые жаловались, что их зубы после снятия брекетов занимали первоначальное положение или подвергались различным заболеваниям. Подобные жалобы возникают чаще всего в тех случаях, когда у пациентов не хватает терпения довести лечение до конца, а также из-за обращения к некомпетентному специалисту.
Ношение брекетов – важный, но не единственный этап лечения аномалии прикуса.
Всё дело в том, что новое положение, которое принимают зубы в результате использования ортодонтических аппаратов, основывается не на костной, а на хрящевой ткани. Только после того, как эта ткань преобразуется в кость, можно говорить о полном завершении лечения. Время лечения прикуса после снятия брекет-системы называется ретенционным периодом.
Зубы после брекетов: закрепление результата
Лечение прикуса с помощью ретейнеров может длиться около пяти лет, а в особо сложных случаях – ещё дольше. Каждый желающий может самостоятельно определить примерное время ношения ретейнеров.
Для этого ему необходимо умножить на два длительность ношения брекетов. Чаще всего именно такой длительный срок ретенционного периода пугает нетерпеливых пациентов.
Но те люди, которые довели весь курс до конца, утверждают, что потерпеть всё-таки стоит. Иначе какой смысл вообще устанавливать корректирующие системы?
На зубы после снятия брекетов могут быть установлены съёмные или несъёмные ретейнеры.
Съемные ретейнеры
К съёмным ретейнерам относят пластинки, трейнеры и капы.
Пластинка
Первый вариант является более традиционным и бюджетным.
Пластинка представляет собой несложную конструкцию из проволочной дуги и пластиковой основы, чётко повторяющей рельеф десны и контуры расположения зубов. Изготавливают такой аппарат по индивидуальному заказу на основе слепка зубов пациента.
Ношение пластинки сопровождается чувством дискомфорта. Однако к ней, как и к брекетам, можно привыкнуть.
Кроме того, при необходимости этот аппарат можно убрать на некоторое время. Так, например, многие люди днём пластинку не носят, а надевают её на всю ночь. Как утверждают пользователи, это совершенно не снижает эффект от использования аппарата.
Правда, врачи настаивают на том, что зубы после ношения брекетов необходимо поддерживать практически круглые сутки.
Недостатком пластинки является то, что за ней необходимо тщательно ухаживать, ежедневно мыть и очищать от налёта с помощью мягкой зубной щётки и пасты.
Еженедельно пластинку следует дезинфицировать в специальном растворе, залив его в контейнер и поместив туда же аппарат на 8 часов.
На сегодняшний день пластинка продолжает оставаться наиболее распространённым ортодонтическим аппаратом для фиксирования положения зубов после снятия брекетов.
Трейнер
Трейнер – это эластичный силиконовый ортодонтический аппарат, который применяют как для лечения прикуса, так идля закрепления результата после ношения брекетов. Принцип его действия соответствует механизму действия пластинки.
Но назначают его чаще в тех случаях, когда необходимо избавить пациента от вредных привычек, способствующих искривлению прикуса: ротового дыхания, неправильного типа глотания, прокладывания языка и т. д.
Капа – это своего рода прозрачный эластичный чехол на зубы, который можно легко снять без помощи врача. Изготавливают этот новейший ортодонтический аппарат из биосиликона или биопластика.
Капы бывают индивидуальными, термопластическими и стандартными.
Индивидуальные капы являются самыми дорогостоящими, потому что готовят их в единственной в мире лаборатории в Калифорнии. Такие ортодонтические системы часто называют съёмными брекетами, поскольку они также способны лечить неправильный прикус. По сравнению с другими капами индивидуальные аппараты являются самыми толстыми.
Носить такие капы на зубах следует около 22 часов в сутки, иначе получить хороший результат вряд ли будет возможным.
Термопластические капы также устанавливают на зубы после снятия брекетов. Однако стоят они намного дешевле, чем индивидуальные, и изготавливаются из более мягких материалов. Для того, чтобы придать термопластическим капам нужную форму, аппарат нужно разогреть в горячей воде, а затем подержать 2-3 минуты на зубах пациента.
Выпуск стандартных кап производится по одному общему образцу, поэтому подходят такие аппараты не всем, а использоваться для лечения прикуса не могут.
В отличие от пластинки, капа, установленная на зубы после лечения брекетами, не доставляет пациентам ортодонтов сильных неудобств.
Ухаживать за капами тоже несложно: достаточно каждый раз перед надеванием споласкивать внутреннюю сторону системы обычной водой, а внешнюю – чистить с помощью щётки по мере необходимости.
Несъемные ретейнеры
Несъёмный ретейнер – это такой ортодонтический аппарат, который служит для удержания зубов после лечения брекетами в новом положении.
По сути эта система является стальной проволокой, прикреплённой к зубному ряду с помощью стоматологического клея. Принцип её действия очень похож на механизм работы брекетов.
Устанавливают несъёмный ретейнер на внутреннюю сторону зубного ряда, благодаря чему он остаётся совершенно незаметным.
Привыкание к такому аппарату происходит довольно быстро. Уход за ним очень прост. Кроме того, цена несъёмного ретейнера намного ниже стоимости капы.
Пожалуй, единственным минусом несъёмной удерживающей ортодонтической системы является вероятность её отклеивания в неподходящий момент. Несъёмный ретейнер может стать помехой лишь в том случае, если придётся лечить больной зуб. К слову, лечить зубы после ношения корректирующей системы приходится многим из тех, кто пользовался системой.
Сайт sympaty.net рекомендует первое время после того, как врач-ортодонт снимет корректирующие системы, ухаживать за зубами особенно тщательно.
Уход за зубами после снятия брекетов
Длительное воздействие на зубы коррекционной системы делает их эмаль более тонкой, что впоследствии может привести к её деминерализации и появлению кариеса.
Именно поэтому сразу после снятия брекетов врач назначает регенерирующий курс лечения, который проводится путём обработки поверхностей зубов специальными гелями, пастами и лаками.
Такая терапия восстанавливает состав эмалевого покрытия зубов и избавляет от их болезненности и повышенной чувствительности.
Иногда для того, чтобы эмаль лучше восстанавливалась, врачи рекомендуют пациентам употреблять минеральные комплексы.
Как утверждают врачи-ортодонты, а также большинство их дисциплинированных пациентов, зубы после брекетов станут красивыми и здоровыми лишь при условии тщательного соблюдения гигиены в период лечения и выполнения всех рекомендаций хорошего специалиста.
Ретейнеры после брекетов: сколько носить, фото, цена
Брекет-система — наиболее эффективный метод исправления неровных зубов и неправильного прикуса. Период лечения достаточно долгий. Но мало кто знает, что после лечения следует реабилитационный период. В это время необходимо закрепить результат.
Брекеты изменяют положение твердых и мягких тканей, приводя в порядок прикус и внешний вид улыбки. После снятия брекетов ставят ретейнер. Если пропустить реабилитационный период, зубы вернутся в прежнее положение и все результаты пропадут.
Рассмотрим подробнее, что такое ретейнеры, зачем и как их используют, основные правила ухода, достоинства и недостатки конструкции.
После снятия брекетов всегда необходимо установить ретейнер. На фото вы видите основные типы ретейнеров.
Что такое ретейнеры и с какой целью их применяют
Ретейнеры — конструкция, поддерживающая правильное положение зубного ряда после лечения с брекет — системой. Ретейнер устанавливается на зубы сразу после снятия брекетов. Устройство фиксирует не только зубы, но и связки, которые особенно подвержены деформации. Перед установкой аппарата врач внимательно изучает состояние зубов.
Сама процедура не доставляет дискомфорта и проходит безболезненно. Длительность ношения брекетов и неправильный уход за ними могут привести к образованию кариеса или иных заболеваний, требующих лечения перед установкой ретейнеров. Чтобы конструкция была надежно закреплена на зубах, их тщательно очищают специальным средством.
Поверхность, на которую устанавливают аппарат, должна быть абсолютно сухой.
Типы ретейнеров
После брекетов ставят ретейнер разных видов. Системы отличаются способом применения и внешним видом. Ретейнеры могут быть съемными или несъемными. Вид аппарата подбирается с учетом индивидуальных особенностей организма и сложности лечения. Существует возможность комбинировать два вида устройства. Например, сначала устанавливается проволочный аппарат, а затем постоянный.
Съемные ретейнеры удобны в использовании. Пациент может самостоятельно снять аппарат, не обращаясь к специалисту.
Конструкция может быть в виде пластин, скоб или прозрачных кап.
- Элайнеры (капы) целиком состоят из пластика или силикона, могут быть прозрачными или цветными.
 - Пластины содержат металлические дуги с прикрепленными к ним пластиковыми элементами.
 
Съемные конструкции рекомендуется надевать на ночь и носить по возможности днем. Не стоит надолго снимать капы, поскольку зубы могут изменить положение, и придется заново проходить курс лечения и приобретать новые элайнеры.
К ретейнерам, как и к брекетам, нужно привыкать. Многие пациенты жалуются на размер конструкции и с трудом адаптируются к дискомфорту при лечении.
В уходе пластины и элайнеры просты. После снятия аппарата следует тщательно промывать все элементы специальной щеткой. Подробнее об уходе ниже.
Несъемные конструкции, как следует из названия, нельзя снять самостоятельно.
Система состоит из тонкой проволоки или ленты, которая прикрепляется к зубному ряду или десне с внутренней стороны с использованием специального клея.
Такие системы незаметны окружающим, прочны и безопасны. Крепится система к молярам, поэтому перед установкой состояние зубов тщательно проверяется, чтобы не возникло осложнений.
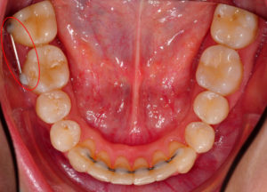
Ретейнеры после брекетов на зубах нижней челюсти
Сколько нужно носить ретейнеры после брекетов
Один из главных вопросов пациентов – сколько носить ретейнеры после брекетов? Продолжительность ношения системы определяется индивидуально. Заранее определить длительность периода реабилитации невозможно в связи с особенностями организма каждого человека.
Основные факторы, влияющие на продолжительность реабилитации:
- Возраст человека. Чем старше пациент, тем меньше связки и мягкие ткани поддаются постороннему воздействию. Поэтому срок ношения аппарата увеличивается пропорционально возрасту.
 - Сложность лечения. Период реабилитации и лечения неразрывно связаны. Если лечение занимает длительный срок, то и реабилитационный период будет долгим.
 - Индивидуальные особенности организма. Чтобы зубы привыкли к новому положению, в различных ситуациях требуется разное время воздействия.
 - Наличие вредных привычек и заболеваний, способных влиять на состояние аппарата.
 
Период ношения ретейнеров обычно вдвое больше срока ношения брекетов, иногда конструкция снимается раньше. В некоторых случаях рекомендуется пожизненное ношение кап или ретейнеров. Период реабилитации составляет не меньше одного года.
Что выбрать: капы или ретейнеры после брекетов?
Капы — пластмассовое устройство, защищающее зубы от внешнего воздействия и смещения. Иногда капы используются вместе с ретейнерами или вместо них. Совместное использование аппаратов в некоторых случаях значительно ускоряет процесс.
Специально для пациента изготовлена разноцветная капа
Необходимо помнить, что самостоятельно «назначать» себе комбинированное лечение нельзя. Капы являются разновидностью съемных ретейнеров. Выбор той или иной конструкции зависит от сложности случая и индивидуальных особенностей организма. Без специальной диагностики выбрать вид ретейнеров невозможно.
Уход за ретейнерами
- Основным правилом ухода является правильная и регулярная гигиена. Необходимо тщательно очищать конструкцию от загрязнений и налета при помощи специальной щетки.
 - Элайнеры рекомендуется промывать слабым раствором хлоргексидина или другими неагрессивными обеззараживающими составами.
 - Проводите обработку дезинфицирующими средствами не менее двух раз в сутки.
 - Храните капы в специальных боксах, защищающих конструкцию от загрязнения и поломок.
 - Непосредственно перед употреблением пищи систему необходимо снимать (если конструкция съемная). После еды необходимо тщательно чистить зубы и систему.
 - Несъемные конструкции также следует хорошо очищать специальными средствами. Рекомендуется проконсультироваться со специалистом, какие средства следует покупать.
 - Раз в полгода следует проводить процедуры для очистки полости рта в клинике.
 - Помимо чистки зубов рекомендуется использовать ополаскиватель для рта и с осторожностью применять зубные нити.
 - При наличии дискомфорта, смещении или отклеивании конструкции необходимо срочно обратиться к специалисту. При ожидании приема старайтесь избегать воздействия на аппарат.
 - Не применяйте для ухода за конструкцией агрессивные средства, такие как перекись водорода. Эта мера поможет сохранить конструкцию.
 
Пример съемных и несъемных ретейнеров после снятия брекетов
Достоинства ретейнеров
- Эффективны при закреплении результатов лечения брекетами.
 - Создаются индивидуально для каждого пациента, что делает период лечения максимально комфортным. Существует возможность приобрести готовый аппарат.
 - Удобная конструкция, незаметная для окружающих.
 - Простые правила по уходу за системой.
 
Недостатки ретейнеров
- Съемные ретейнеры могут вызвать аллергию, повышенное слюноотделение, вызывать дискомфорт при ношении и разговоре.
 - Несъемные ретейнеры требует более тщательного ухода, профессиональной очистки полости рта и посещения специалиста. Врач должен следить за состоянием зубов, особенно тех, к которым прикреплена конструкция, и самой системы.
 - При недостаточной гигиене полости рта возможно появление зубного налета и камня, воспалений, кровоточивости десен и неприятного запаха изо рта.
 
Процедура установки ретейнера на зубы
Зафиксированные ретейнеры после снятия брекетов. Для фиксации использовался фотокомпозитный материал.
Цена на ретейнеры
Стоимость конструкции варьируется в зависимости от сложности лечения, длительности периода реабилитации и типа выбранного аппарата.
Стоит отметить, что перед установкой ретейнеров проводятся дополнительные процедуры: осмотр полости рта, очистка и, при необходимости, лечение зубов.
Предварительные процедуры обходятся пациенту от 1000 рублей, несъемные конструкции из металла от 5 до 7 тысяч, ленты до 12 тысяч рублей, капы — 2000-9000 рублей.
Отзывы о ретейнерах
Отзывы об использовании ретейнеров после снятия брекетов в основном положительные. Пациенты отмечают эффективность ретейнеров после брекетов и готовы мириться с незначительными недостатками для достижения наилучшего результата.
Мнения людей по поводу комфорта во время ношение ретейнеров разделяются. Одни не замечают установленную конструкцию, другим она доставляет определенные неудобства, особенно в начале курса. Наиболее комфортными пациенты считают несъемные конструкции.
Также у некоторых людей возникает проблема с дикцией в период реабилитации, но к серьезным изменениям речи ретейнеры не приводят.
Одним из недостатков выделяется длительность ношения системы. Например, пациент носил брекеты в течение 10 месяцев, а затем проходи лечение с помощью ретейнеров в течение одного года.
Вашему вниманию предлагаем посмотреть видео пример того, как изготавливается капа для зубов.
Ретейнеры после брекетов: виды, установка, уход
Чтобы получить красивые и ровные зубы придется потратить немало времени. Среднее время ношения брекет-систем составляет 1,5 года. Но лечение по выравниванию зубных рядов не заканчивается на снятии брекетов. После брекетов устанавливают ретейнеры, которые направлены на закрепление результатов ношения ортодонтических конструкций.
Как показала стоматологическая практика, большинство пациентов считают, что для исправления неровности зубов достаточно брекетов, а дополнительные конструкции не нужны. После снятия брекетов пациенты видят результат, поэтому и отказываются от установки ретейнеров. Врачи-ортодонты настоятельно советуют не отказываться от ретейнеров. Но почему?
Чтобы разобраться, зачем же ортодонты настаивают на установке ретейнеров, нужно понять, как происходит процесс выравнивания зубов.
После установки брекетов начинается трудный и медленный процесс перестройки костной ткани вокруг зубов. Именно поэтому срок ношения брекетов варьируется от 1 до 3 лет, а иногда и дольше.
Брекет-система создает давление, под которым и происходит перестройка костной ткани. Но после снятия брекетов это давление пропадает, и костная ткань постепенно начинает возвращаться в привычное положение. Чтобы избежать обратной деформации и нужны ретейнеры.
Ретенционные аппараты помогают закрепить полученный результат и не свести все результаты лечения на нет. Существует несколько разновидностей, и какой именно вид установить рекомендует ортодонт.
Виды ретейнеров
Съемные ретейнеры имеют разные конструкции.
Самый распространенный, но не самый удобный вариант – ретенционная пластинка или скоба, которая представляет собой жесткую конструкцию из проволоки, которая опоясывает зубной ряд и не дает зубам вернуться на прежнее место.
Второй вариант съемных ретейнеров более эстетичен и удобен в использовании – капы. Отметим, что оба варианта изготавливаются на основании слепков зубов.
Несъемные ретейнеры изготавливаются из медицинской стали и их нельзя снять вне стоматологического кабинета. Конструкция представляет собой тонкую проволоку, которая крепится с внутренней стороны зубов специальным клеевым составом.
Иногда лечащий врач рекомендует совмещение съемного и несъемного ретейнера – на верхнюю и нижнюю челюсти соответственно. Также возможен вариант ношения сначала ретейнера, а затем капы.
Установка ретейнера
Ретенционные аппараты устанавливаются сразу после снятия брекетов. Перед непосредственной установкой проводится ряд обязательных процедур:
- Осмотр полости рта. Стоматолог должен убедиться, что со времени последнего осмотра, не образовался ли кариес или другие заболевания.
 - Затем делается рентген челюсти или слепок для создания индивидуального ретейнера.
 - Следом проводится профессиональная чистка зубов. Данная процедура необходима, так как во время ношения брекетов, да при правильном уходе, на зубах и в местах крепления брекетов, остается налет.
 - На эмаль зубов наносятся специальные средства, направленные на повышение сцепляющих свойств зубной эмали.
 - И только после этого производится крепление аппарата клеем к поверхности зубов.
 
Несъемные ретейнеры незаметны при ношении и не доставляют неудобства, особенно по сравнению с ношением брекетов. Все ретейнеры изготавливаются из современных материалов и не оставляют механических травм на зубах.
Сколько времени нужно носить ретейнеры после брекетов?
Срок ношения зависит от нескольких факторов:
- Типа дефекта прикуса.
 - Первоначального положения зубов.
 - Периода исправления дефекта брекетами, то есть периодом их ношения.
 
В среднем, ретейнер придется носить в 1,5 раза дольше, чем брекеты. При этом нужно раз в полгода посещать стоматолога для проверки эффективности лечения.
Гигиена полости рта с ретейнерами
Несъемные аппараты требуют особого ухода, как и за брекет-системами. Уход ещё осложняется тем, что несъемный ретейнер устанавливается на внутреннюю поверхность зубов. Поэтому необходимо знать основные правила ухода, чтобы избежать скопления налета и развития различных заболеваний.
- Чистить зубы нужно после каждого приема пищи, уделяя особое внимание внутренней стороне зубов.
 - Обязательно полоскать полость рта специальным антибактериальным ополаскивателем. Для лучшего очищения зубов, в месте крепления ретейнера нужно пользоваться ирригатором.
 - Во избежание возникновения налета, зубного камня, кариеса или воспалительных заболеваний полости рта (гингивит, стоматит, пародонтит) нужно регулярно проходить профессиональную санацию ротовой полости.
 
За съемными ретейнерами, как и за полостью рта, ухаживать намного проще. Просто нужно соблюдать обычные и привычные процедуры. А сам аппарат чистить специальной зубной щеткой.




