Пневмония – воспаление легочной ткани, имеющее инфекционную или бактериальную природу возникновения, до сих пор остается одним из наиболее опасных заболеваний, финалом которого может стать летальный исход. По данным Всемирной Организации Здравоохранения (ВОЗ), пневмония входит в число 10 болезней, которые могут привести к смерти больного, особенно в детском возрасте. По статистике, наиболее уязвимыми для этого недуга, являются дети первого года жизни, чаще всего недоношенные.
Причины болезни
В силу своих физиологических и анатомических особенностей, грудные малыши зачастую подвержены респираторным заболеваниям, виной этому становится их неокрепший иммунитет и несовершенство дыхательной системы. Просветы гортани, бронхов, трахеи и носовых проходов у них еще очень плохо развиты, а слизистая оболочка имеет склонность к быстрому отеку, что затрудняет и без того неглубокое дыхание ребенка. К тому же, груднички не способны самостоятельно избавляться от мокроты, а ее чрезмерное скопление в бронхах, замедляет процесс выздоровления и вызывает сильный кашель.
Грудные дети подвержены двум видам пневмонии:
- Врожденная – когда заражение происходит в утробе матери или во время родов.
- Приобретенная – возникающая в первые месяцы жизни младенца.
Как правило, возбудителями болезни становятся:
- стрептококки;
- пневмококки;
- стафилококки;
- вирус герпеса;
- хламидии;
- микоплазмы;
- цитомегаловирус;
- грибок типа Candida;
- гемофильная и кишечная палочки.
Врачи отмечают, что пневмония у грудничков может проявляться различными признаками, включая кашель, одышку, повышенную температуру и вялость. Важно своевременно распознать симптомы, так как у младенцев заболевание может развиваться стремительно. Лечение обычно включает антибиотики, если причина бактериальная, а также поддерживающую терапию для облегчения состояния. Специалисты подчеркивают, что игнорирование симптомов может привести к серьезным осложнениям, таким как дыхательная недостаточность или сепсис. Поэтому родителям рекомендуется внимательно следить за состоянием ребенка и при малейших подозрениях на пневмонию обращаться к врачу. Профилактика, включая вакцинацию и соблюдение гигиенических норм, также играет ключевую роль в защите грудничков от этого опасного заболевания.

Врожденная форма заболевания
Причина возникновения врожденной формы пневмонии, это последствие заболевания, перенесенного женщиной во время беременности, при котором вирусные агенты попадают в организм ребенка через плаценту или околоплодные воды. Тяжесть протекания врожденной формы болезни может быть различной, и зависит от ряда факторов:
- Промежуток времени, прошедший от момента инфицирования до рождения малыша, чем он длиннее, тем сложнее будет протекать болезнь;
- Возбудитель заболевания;
- Степень доношенности новорожденного;
- Индивидуальные особенности детского организма, иммунитет.
Инфицирование в утробе
Если инфицирование плода произошло еще в утробе матери, через кровь (гематогенный способ), заболевание диагностируется сразу после появления малыша на свет и его характеризуют следующие симптомы:
- Слабый мышечный тонус – движения ребенка вялые, конечности свисают, мышцы находятся в расслабленном состоянии;
- Окрас кожных покровов варьируется от серого до синюшного цвета;
- Сразу после рождения ребенок не кричит или его крик очень слаб, а дыхание хриплое и прерывистое, больше напоминающее стоны;
- Нестабильная температура тела. Для недоношенных детей характерно понижение до 35˚ С, а для новорожденных появившихся в срок, повышение до 40 ˚ С;
- У крохи отсутствуют или слабо выражены врожденные рефлексы (дыхательный, глотательный, сосательный). Такие дети после рождения находятся на искусственной вентиляции легких и получают питательные вещества через специальный зонд;
- После появления на свет у малыша наблюдаются явные признаки асфиксии;
- Возможны пенистые выделения изо рта.
Пневмония у грудничков — серьезное заболевание, которое вызывает беспокойство у родителей. Признаки воспаления легких могут включать кашель, затрудненное дыхание, повышенную температуру и вялость. Часто дети становятся капризными и отказываются от еды. Важно не игнорировать эти симптомы и обратиться к врачу, так как ранняя диагностика играет ключевую роль в успешном лечении. Лечение может включать антибиотики, если причина бактериальная, а также поддерживающую терапию. Осложнения, такие как плеврит или дыхательная недостаточность, могут возникнуть при запущенных формах болезни. Родителям следует быть внимательными и следить за состоянием ребенка, чтобы избежать серьезных последствий.

Заражение во время родов
Заражение крохи может произойти в процессе его прохождения через инфицированные родовые пути, в этом случает патогенные микроорганизмы проникают через легкие малыша (бронхогенный способ), а появляющиеся на 2-3 сутки признаки воспаления, характеризуют следующие симптомы:
- Отсутствие аппетита, отказ от груди, сильная потеря веса;
- Расстройство пищеварения, диарея, спазмы и вздутие кишечника;
- Частые срыгивания и рвота;
- Синеватый оттенок носогубного треугольника и языка;
- Бледный или землисто-серый цвет кожных покровов;
- Свистящее, шумное, аритмичное дыхание;
- Повышение температуры тела до очень высоких значений;
- Иногда поверхностный кашель;
- Слабое дыхание у недоношенных младенцев;
Из-за отсутствия иммунитета, пневмония для новорожденных детей довольно тяжелое заболевание и может привести к отягчающим последствиям. При постановке такого диагноза необходимо срочное медикаментозное лечение малыша в условиях стационара или родильного дома.
Приобретенная пневмония
Приобретенная или постнатальная форма пневмонии может развиться у грудничков в первые месяцы жизни, в домашних или стационарных условиях, по нескольким причинам:
- Вирусные заболевания;
- Переохлаждение или перегрев ребенка;
- Асфиксия в процессе родов и проникновение в дыхательные пути околоплодных вод;
- Внутриутробное поражение мозга;
- Родовая травма;
- Отклонение в развитии дыхательной системы;
- Преждевременные роды;
- Роды с помощью кесарева сечения;
- Попадание в дыхательные пути новорожденного рвотных масс.

Симптомы болезни
В большинстве случаев приобретенная пневмония развивается как последствие неправильного лечения простудных и вирусных заболеваний. На какие симптомы следует обратить внимание молодым родителям, чтобы определить и распознать начинающееся воспаление легких, советует доктор Комаровский:
- Основные признаки болезни – сухой, поверхностный кашель, и температура, сбить которую с помощью жаропонижающих средств, не удается;
- ОРВИ, простуда, сильный сухой кашель, продолжающиеся более недели;
- Кожные покровы становятся бледного серого цвета;
- Попытку ребенка сделать глубокий вдох сопровождает сильный кашель;
- Нарушается частота и глубина дыхания, появляется одышка;
- Посинение в области носогубного треугольника.
При первичном заболевании, симптомы пневмонии носят слабо выраженный характер и очень схожи с проявлениями ОРЗ и ОРВИ. Признаки болезни могут появиться не сразу, а спустя несколько суток после возникновения воспалительного процесса. Начало недуга сопровождают резкий скачок температуры, слабость, отказ от еды и общее недомогание. При дальнейшем развитии заболевания проявляется перечисленная выше симптоматика.
Уровень тяжести приобретенного воспаления легких зависит от степени сформированности организма новорожденного, у недоношенных детей клиническая картина заболевания будет более сильной, чем у малышей, рожденных в срок.
Педиатр Евгений Комаровский предостерегает, что в ряде случаев пневмония у новорожденных носит скрытый характер, ее не сопровождают такие симптомы, как кашель и повышение температуры, из-за этого своевременная диагностика довольна затруднена. Поэтому задача родителей и врачей вовремяопределить и распознать другие признаки болезни. Комаровский отмечает, что скрытой форме заболевания присущи такие симптомы, как вялость, сонливость, жажда и отсутствие аппетита.
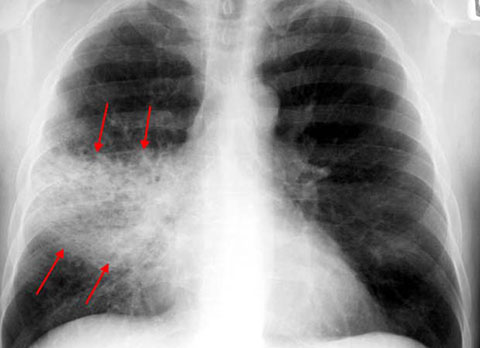
Типы поражения легочной ткани при пневмонии
При любом виде пневмонии степень поражения легких неодинакова, и от этого зависит насколько выраженными будут симптомы заболевания. По локализации и силе повреждения легочной ткани, можно классифицировать несколько типов воспаления. Чаще всего встречается очаговая пневмония, при которой поражается небольшой участок легкого, ей характерны такие симптомы, как мокрый кашель, температура и повышенная потливость. При тотальном воспалении поражается целиком одно из легких, а двустороннее охватывает оба органа одновременно,
Диагностика и лечение
Доктор Комаровский советует: при первых подозрениях на воспаление легких родителям малыша необходимо срочно обратиться в медицинское учреждение и пройти соответствующее обследование:
- Визуальный осмотр кожи и слизистых оболочек грудничка;
- Прослушивание легких на наличие хрипов и длительности вдоха – выдоха;
- Простукивание грудной клетки для выявления воспаленных участков;
- Биохимический и общий анализ крови;
- Общий анализ мочи;
- Бактериологические посевы мокроты;
- Рентгенография или флюорография грудной клетки.
При постановке диагноза воспаление легких, грудничку необходима немедленная госпитализация. Чем быстрее будет начато лечение, тем вероятнее благополучный исход болезни и отсутствие осложнений.
В большинстве случаев лечение пневмонии начинается с антибактериальных препаратов широкого спектра действия, перорально или внутримышечно.
В дополнение к ним врач может назначить иммуномодулирующие препараты и витаминные комплексы.
Большую роль в успешной противовоспалительной терапии играют ингаляции травяными сборами или лекарственными препаратами, которые снимают отек со слизистых оболочек, трансформируют сухой кашель во влажный, и способствуют быстрому отхождению мокроты.
Чтобы снять симптомы интоксикации, проводятся мероприятия по введению внутривенно физиологических растворов.
Доктор Комаровский советует сопровождать лечение больного малыша, выполнением элементарных правил гигиены и профилактики. В помещении, где он находится, должна проводится ежедневная влажная уборка, проветривание и поддерживаться оптимальный уровень температуры и влажности. Ребенок должен употреблять как можно больше жидкости и принимать пищу чаще, но небольшими порциями, чтобы не перегружать желудочно-кишечный тракт. Хорошим подспорьем в комплексном лечении, после улучшения состояния больного, станет массаж, способствующий очищению органов дыхания от мокроты.
Важными профилактическими мерами для борьбы с пневмонией, является прививка от пневмококковой инфекции.
Возможные осложнения
Своевременно начатое и грамотное лечение дает эффективные результаты, болезнь удается победить в течении 10 – 15 дней. Запоздало начатая антибактериальная терапия и, не сделанная вовремя прививка от пневмококка, чреваты возникновением ряда осложнений:
- Кашель, оставшийся на длительное время после окончания лечения;
- Воспаление легких, вызванное пневмококками может в дальнейшем привести к отиту и менингиту;
- Если в процессе болезни пострадает серозная оболочка органов дыхания (плевра) возможен риск развития плеврита, причиняющего ребенку сильные загрудинные боли;
- Затяжная болезнь с большой вероятностью может принять хроническую форму, и любые дальнейшие респираторные заболевания ребенка могут спровоцировать очередноевоспаление легких;
- Сепсис легочной ткани.
Профилактика пневмонии
Болезнь легче предотвратить, чем вылечить, поэтому для уменьшения риска инфицирования, педиатр Евгений Комаровский, советует родителям грудничков соблюдать некоторые меры профилактики:
- Грамотное планирование и ведение беременности (своевременная сдача анализов и регулярные визиты в женскую консультацию);
- Своевременное выявление и лечение воспалительных процессов во время вынашивания ребенка;
- Соблюдение режима и здоровый образ жизни;
- Прививка от пневмококка;
- Кормление новорожденного грудным молоком;
- Правильное и сбалансированное питание матери;
- Избежание контакта с инфицированными людьми.
В последние несколько лет в России, в список обязательных прививок, вошла прививка от пневмококковой инфекции, представленная вакцинами Превенар (США) и Пневмо-23 (Франция). Первая прививка ставится грудничкам, начиная с 2-х месячного возраста, вторая – детям от 2 лет до 5 лет.
Детский врач Евгений Комаровский считает, что своевременная поставленная прививка от пневмококковой инфекции, способна уберечь ребенка в будущем от возникновения таких серьезных заболеваний, как пневмония, тонзиллит, отит и менингит.
Вопрос-ответ
Как понять, что у грудничка пневмония?
Симптоматические проявления включают в себя озноб, лихорадку, повышенное потоотделение, кашель, учащение дыхания и пульса. Для вирусной формы легочного заболевания характерны такие симптомы, как сухой кашель, жар, головная боль, слабость и ломота в мышцах, быстрая утомляемость, потеря аппетита.
Чем опасна пневмония у грудничков?
Чем младше ребенок, тем реже пневмония у него по своему течению напоминает взрослую. Как правило, даже на фоне слабой симптоматики может сформироваться выраженная гипоксия тканей (недостаток кислорода). Опасно заболевание тем, что оно может привести к сердечно-сосудистой и дыхательной недостаточности.
Как дышит грудничок при пневмонии?
При пневмонии грудничок дышит с затруднениями, может наблюдаться учащенное дыхание, свистящие или хрипящие звуки, а также использование вспомогательных мышц для дыхания. Часто у малыша отмечается одышка, он может быть беспокойным или вялым, а также может проявляться цианоз (посинение кожи) в области губ и конечностей.
Как лечат новорожденных от пневмонии?
Лечение пневмонии у новорожденных. Основу лечения составляют антибиотики, которые сначала подбираются эмпирически, а затем корректируются после получения результатов бактериологической диагностики. В неонатологии в основном используют бета-лактамные препараты и макролиды.
Советы
СОВЕТ №1
Обратите внимание на первые признаки заболевания. У грудничков пневмония может проявляться через повышенную температуру, кашель, затрудненное дыхание и вялость. При появлении этих симптомов немедленно обратитесь к врачу для диагностики и назначения лечения.
СОВЕТ №2
Следите за режимом питания и гидратации вашего малыша. Во время болезни важно поддерживать достаточное количество жидкости, чтобы предотвратить обезвоживание. Также старайтесь предлагать легкую и питательную пищу, которая не будет нагружать организм.
СОВЕТ №3
Не забывайте о профилактике. Регулярные осмотры у педиатра, вакцинация и укрепление иммунной системы с помощью правильного питания и активного образа жизни помогут снизить риск развития пневмонии у вашего ребенка.
СОВЕТ №4
Обратите внимание на возможные осложнения. Если после лечения симптомы не исчезают или ухудшаются, немедленно обратитесь к врачу. Осложнения пневмонии могут быть серьезными, и своевременное вмешательство может спасти жизнь вашему ребенку.







